Trong số những bệnh lý nha khoa, sâu kẽ răng được coi là một trong những bệnh lý phổ biến nhất. Tình trạng này tác động tiêu cực tới sức khỏe răng miệng nói chung, mặt khác còn gây mất thẩm mỹ và ảnh hưởng nghiêm trọng tới cuộc sống của con người. Trong bài viết dưới đây, chúng tôi sẽ giới thiệu chi tiết tới bạn đọc nguyên nhân, triệu chứng cũng như cách điều trị tối ưu nhất. Cùng đón đọc ngay nhé.
Tìm hiểu về sâu kẽ răng
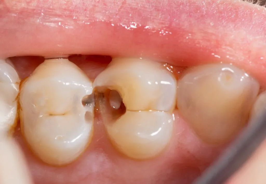
Sâu kẽ răng giống với các bệnh lý sâu răng thông thường, do tác động của vi khuẩn tạo nên những lỗ sâu trên bề mặt răng. Hiện nay có hai tình trạng bệnh thường gặp nhất là sâu kẽ răng cửa và sâu kẽ răng hàm.

Sâu kẽ răng cửa là gì?
Sâu kẽ răng là hiện tượng hai răng liền kề nhau bị sâu và vị trí sâu nằm ngay chính giữa hai khe hở của răng (được gọi là kẽ răng) vì đây là vị trí rất khó để vệ sinh. Về cơ bản sâu kẽ răng cửa là hiện tượng kẽ răng cửa của con người bị tác động của vi khuẩn làm xuất hiện lỗ li ti màu trắng sau đó chuyển sang nâu và tạo thành những lỗ sâu. Vị trí sâu nằm ở hai răng cửa chính giữa trong hàm răng chúng ta.
Sâu kẽ răng hàm là gì?
Tương tự như sâu kẽ răng cửa, sâu kẽ răng hàm cũng xuất hiện các dấu hiệu nhẹ như những lỗ nhỏ li ti sau đó chuyển sang nâu đen và lỗ sâu rộng hơn. Điểm khác biệt nằm ở vị trí lỗ sâu, sâu kẽ răng hàm xảy ra ở vị trí hai răng hàm liên tiếp nhau, các răng hàm 6,7,8.
Triệu chứng của sâu kẽ răng
Triệu chứng của sâu kẽ răng tương đối dễ nhận biết, các ổ sâu xuất hiện với đốm nâu kèm những dấu hiệu khác như:
- Các đốm, lỗ đen sâu ở giữa hai kẽ răng, tùy thuộc vào tình trạng bệnh, kích thước của các lỗ sâu này sẽ thay đổi to hoặc nhỏ.
- Cảm giác ê buốt khi nhai, ăn uống những thực phẩm nóng, lạnh hoặc quá cứng.
- Tình trạng hôi miệng, hơi thở có mùi gây ảnh hưởng tới quá trình giao tiếp hàng ngày.
- Cảm giác đau nhức, khó chịu ngay cả khi không ăn uống hoặc không tác động tới khu vực sâu răng.
- Kèm theo những dấu hiệu bệnh lý khác liên quan đến răng miệng như nướu, hàm,…
Các giai đoạn của sâu kẽ răng
Giai đoạn hình thành và phát triển của sâu kẽ răng thường đi qua ba giai đoạn chính bao gồm sâu men, sâu ngà nâu và sâu ngà sâu:
Sâu men là giai đoạn mới hình thành ổ sâu với những tổn thương nhẹ, đây cũng là giai đoạn dễ dàng điều trị nhất nếu sớm phát hiện. Dấu hiệu ban đầu là những vệt vàng nâu hoặc các đốm sâu li ti ở các kẽ răng.

Sâu ngà nâu có biểu hiện rõ ràng hơn kèm theo những cơn đau ê buốt khi ăn đồ ăn nóng hoặc lạnh. Bắt đầu xuất hiện các lỗ sâu nhỏ ở giữa kẽ răng cùng với màu sắc nâu sầm dần.
Sâu ngà sâu là giai đoạn cuối cùng, khi đó vi khuẩn tấn công mạnh mẽ và ăn mòn men răng, chỉ còn lộ ra lớp ngà. Người bệnh thường xuyên cảm thấy đau nhức ê buốt ngay cả trường hợp không ăn gì.
Sâu kẽ răng do nguyên nhân gì?
Có nhiều nguyên nhân gây ra tình trạng sâu kẽ răng, trong đó những nguyên nhân phổ biến nhất bao gồm:
Cấu trúc răng của mỗi người
Mỗi cá nhân đều có cấu trúc răng riêng biệt, khi răng mọc khấp khểnh hoặc mọc lệch,… sẽ tạo điều kiện cho sâu kẽ răng hình thành. Đối với trường hợp này, răng thường mọc không thẳng và đều gây ảnh hưởng tới quá trình vệ sinh khiến vi khuẩn tích tụ. Biện pháp điều trị chủ yếu là thực hiện chỉnh nha.
Vệ sinh và chăm sóc miệng chưa hợp lý
Quá trình vệ sinh răng miệng không hợp lý cũng là nguyên nhân quan trọng dẫn tới sâu kẽ răng, trong đó không vệ sinh răng miệng thường xuyên, lười đánh răng, súc miệng sau ăn. Sử dụng sản phẩm chăm sóc răng miệng không phù hợp hoặc đánh răng quá mạnh,… cũng có tác động tiêu cực, ảnh hưởng tới sức khỏe răng miệng nói chung.
Thói quen ăn uống không khoa học
Thói quen ăn uống không khoa học, thường xuyên sử dụng thức ăn chứa nhiều đường, đồ ăn cay nóng, dầu mỡ cũng như sử dụng đồ uống có cồn, chất kích thích. Những thói quen này ảnh hưởng rất xấu tới răng miệng, tạo điều kiện cho vi khuẩn phát triển và gây ra sâu kẽ răng.

Tác động nguy hiểm của sâu kẽ răng
Sâu kẽ răng không chỉ gây bất tiện trong cuộc sống sinh hoạt hàng ngày mà còn kéo theo nhiều biến chứng nguy hiểm đối với người bệnh. Nếu không kịp thời phát hiện và điều trị, bạn có khả năng sẽ gặp phải một số biến chứng như:
- Cảm giác đau buốt trong khoang miệng nhất là vị trí răng đau, gây mệt mỏi khó chịu và chán ăn. Lâu dần có thể đến tác động về tinh thần và suy nhược cơ thể.
- Nguy cơ lây lan ổ sâu sang các vùng răng kế cận, khiến hàm răng bị tổn thương nghiêm trọng.
- Kéo theo nguy cơ gây mòn men răng, khiến răng yếu, lung lay và dễ gãy rụng hơn, ảnh hưởng tới tủy răng, tụt lợi, viêm nướu thậm chí là mất răng.
- Sâu kẽ răng còn kéo theo hôi miệng, hơi thở có mùi, ảnh hưởng tới hoạt động sinh hoạt và giao tiếp hàng ngày.
- Gây mất thẩm mỹ, đặc biệt là đối với các trường hợp bị sâu kẽ răng cửa.
Phương pháp chữa trị sâu kẽ răng tại nhà
Việc điều trị sâu kẽ răng có thể thực hiện tại nhà với các phương pháp đơn giản, tuy nhiên cách làm này chỉ phù hợp với người bệnh có tình trạng nhẹ, mới phát hiện hoặc hỗ trợ trong quá trình điều trị.
1. Sử dụng lá bàng non trong việc chữa trị sâu kẽ răng
Đây là phương pháp dân gian được nhiều người lưu truyền và áp dụng, theo đó trong lá bàng có chứa nhiều hoạt chất như tannin, flavonoid, saponin,… Đây là thành phần có tác dụng chính trong việc kháng khuẩn, giảm viêm, do đó có thể giúp bảo vệ răng miệng, loại bỏ vi khuẩn, đồng thời giúp răng sáng khỏe hơn.

Bạn có thể sử dụng lá bàng non để đun nước súc miệng hàng ngày, lấy lá bàng non kết hợp với muối súc miệng hoặc giã nát để đắp lên vị trí răng bị sâu. Mỗi phương pháp đều áp dụng thực hiện ngày 2 lần.
2. Lá trầu không không phải là biện pháp chữa trị sâu kẽ răng
Lá trầu không được biết tới với tác dụng kháng viêm, kháng khuẩn tốt, sử dụng chủ yếu trong việc điều trị các bệnh về da liễu. Hiện nay lá trầu không còn được dùng để chữa trị bệnh lý sâu kẽ răng, người ta dùng loại lá này đun nước súc miệng hoặc nhai trực tiếp trong miệng.
Tuy nhiên, việc dùng lá trầu không để chữa trị sâu kẽ răng chưa thực sự tối ưu. Vì chúng chỉ có tác dụng trong việc ngăn chặn tạm thời sự lan rộng của các ổ sâu, đối với việc điều trị dứt điểm thì loại lá này vẫn chưa thể đáp ứng.

3. Sử dụng hoa cúc vàng trong việc chữa trị sâu răng
Hoa cúc vàng có đặc tính kháng viêm, tiêu diệt vi khuẩn, do đó nhiều người đã áp dụng loài hoa này vào để điều trị các bệnh lý răng miệng, trong đó có sâu kẽ răng. Bạn chỉ cần dùng cánh hoa cúc đem đi rửa sạch sau đó nhai trực tiếp chúng trong vòng 2 phút và súc miệng lại bằng nước sạch.
Dùng mỗi ngày 2 lần đều đặn trong vòng 3 – 4 tuần bạn sẽ thấy tình trạng bệnh được cải thiện rõ rệt. Tuy nhiên cách làm này chỉ phù hợp với những bệnh nhân có tình trạng bệnh nhẹ cũng như yêu cầu sự kiên trì.

Các biện pháp chữa trị sâu răng kẽ hiệu quả
Tùy từng giai đoạn khác nhau, việc điều trị sâu kẽ răng cũng sẽ có sự thay đổi sao cho phù hợp nhằm chữa trị dứt điểm và hạn chế cơn đau cho người bệnh.
1. Chữa trị sâu kẽ răng giai đoạn “Sâu men”
Giai đoạn sâu men là giai đoạn đầu, mới phát hiện và tình trạng bệnh còn nhẹ, do đó bạn có thể kết hợp giữa việc sử dụng các phương pháp điều trị tại nhà với thay đổi phương pháp vệ sinh răng miệng. Ngoài ra cải thiện chế độ ăn uống cũng là phương pháp giúp điều trị sâu kẽ răng giai đoạn sâu men một cách hiệu quả. Bên cạnh đó bạn cũng có thể uống một số loại thuốc theo chỉ định của bác sĩ để giảm đau.
2. Chữa trị sâu kẽ răng giai đoạn “Sâu ngà nâu”
Nếu bạn đang ở giai đoạn sâu ngà nâu, điều này có nghĩa tình trạng bệnh đang ở mức trung bình và cần sự điều trị, can thiệp kịp thời. Cách tốt nhất là đến gặp nha sĩ để được tư vấn và thăm khám. Thông thường các bác sĩ sẽ tiến hành kê đơn thuốc với một số loại thuốc đặc trị để hạn chế sự phát triển và lây lan của ô sâu.
Bên cạnh uống thuốc, người bệnh còn cần sử dụng các sản phẩm hỗ trợ như nước súc miệng, gel bôi,… Sử dụng các loại kem đánh răng có chứa flour, vệ sinh thường xuyên 2 lần/ngày. Dùng các loại tăm nước, chỉ nha khoa để loại bỏ thức ăn thừa và các loại mảng bám,….
3. Chữa trị sâu kẽ răng giai đoạn Sâu ngà sâu
Đối với giai đoạn sâu ngà nâu, đây là mức độ nặng nhất của người bệnh, khi đó bạn bắt buộc phải đi khám bác sĩ và tiến hành điều trị chuyên sâu. Tùy thuộc vào mức độ nghiêm trọng, bác sĩ sẽ tiến hành tư vấn thực hiện các phương pháp điều trị phù hợp như trám răng, bọc răng sứ hay dán veneer,… Những phương pháp này có thể chấm dứt tình trạng bệnh cũng như hạn chế tối đa các biến chứng khác.

Cách phòng ngừa sâu kẽ răng
Ngoài việc điều trị, bạn cần nắm rõ cách phòng ngừa để tránh mắc phải hoặc tái lại tình trạng sâu kẽ răng. Vì đây là một trong những bệnh lý răng miệng rất nguy hiểm, ảnh hưởng nghiêm trọng tới cuộc sống của con người:
- Thường xuyên vệ sinh răng miệng với tần suất 2 lần/ngày vào các buổi sáng và buổi tối trước khi đi ngủ.
- Sử dụng các sản phẩm hỗ trợ bảo vệ răng miệng đi kèm như kem đánh răng chứa flour, nước súc miệng, bàn chải lông mềm, tăm nước, chỉ nha khoa.
- Không sử dụng các loại thực phẩm dai cứng hoặc quá cay nóng để tránh tổn thương men răng.
- Không sử dụng các chất kích thích, các loại đồ uống có cồn gây hại cho sức khỏe răng miệng.
- Thường xuyên thăm khám bác sĩ để sớm phát hiện tình trạng bệnh cũng như có phương án xử lý kịp thời.

Lời kết
Có thể nói sâu kẽ răng là một bệnh lý rất phổ biến và gây phiền toái cho cuộc sống của con người. Chính vì vậy việc sớm phát hiện và điều trị có ý nghĩa cực kỳ quan trọng,




